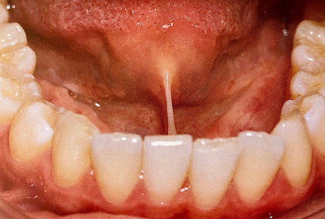
A cirurgia oral, representa um segmento da cirurgia buco-maxilo-facial e engloba várias intervenções, desde as extrações simples, extrações de dentes inclusos, tração de dentes em ortodontia e correção de freios com incorreta inserção. São procedimentos efetuados em regime de ambulatório com recurso a anestésicos locais.



